Esguince de tobillo

Inicio / Lesiones / Tobillo / Esguince de tobillo

Esguince de tobillo

ESGUINCE DE TOBILLO

¿Qué es y qué tipos tenemos? Cuidado cómo apoyas el pie…

El esguince del ligamento lateral externo (LLE) es el comúnmente llamado “esguince de tobillo”, ya que constituye el 85% de las lesiones ligamentarias. Sin embargo, existen otros dos tipos que pueden acontecer en el tobillo como son el esguince del ligamento lateral interno (LLI) o deltoideo (5%) y el esguince de la sindesmosis tibioperonea (10%), este último asociado con frecuencia a la lesión del ligamento lateral externo.  

Es una lesión muy frecuente en deportistas, una de cada 4 lesiones en el deporte es un esguince de tobillo y constituye hasta un 30% en el fútbol y un 50% en baloncesto.

MECANISMO LESIONAL

La lesión de cada ligamento depende de la posición del pie y de las fuerzas aplicadas sobre el tobillo. Así, un movimiento de inversión (giro del pie hacia dentro) dañará el LLE, un movimiento de eversión del pie (giro del pie hacia afuera) dañará el LLI y un mecanismo de rotación aislado o asociado a los anteriores va a producir una lesión en la sindesmosis tibioperonea. Existe otra lesión que puede acontecer en el tobillo que es el esguince de la cápsula anterior, que acontece con un mecanismo de flexión forzada con tobillo neutro. 

ANATOMÍA DEL TOBILLO

El PILAR EXTERNO DEL TOBILLO está estabilizado por el ligamento lateral externo y por la sindesmosis tibioperonea. 

El LLE está formado por 3 fascículos que se lesionaran en función de la posición del pie en el momento del giro:

  • Ligamento Peroneo Astragalino Anterior (LPAA): es el que más frecuente se lesiona (66%), principalmente por un giro del tobillo con el pie en flexión plantar. 
  • Ligamento Peroneo Calcáneo (LPC): el segundo más  frecuente lesionado, suele acompañar al LPAA cuando la intensidad del traumatismo es mayor (22%). 
  • Ligamento Peroneo Astragalino Posterior: el menos frecuente lesionado, por una posición del pie en dorsiflexión en el momento del giro del tobillo. 

La sindesmosis tibioperonea conecta la tibia con el peroné y estabiliza la mortaja por medio de los ligamentos tibioperoneo anterior, posterior e interóseo. El ligamento tibioperoneo anterior se lesiona con frecuencia asociado a esguinces del LLE cuando se le combina un movimiento rotacional. La rotura completa de todos los ligamentos de la sindesmosis origina una gran inestabilidad en la mortaja tibioperonea, se asocia a lesiones más graves como fracturas maleolares o del ligamento deltoideo y precisa una intervención quirúrgica. 

 

El PILAR INTERNO DEL TOBILLO lo forma el ligamento lateral interno o ligamento deltoideo, uno de los ligamentos más potentes de nuestro organismo formado por dos planos ligamentosos: uno superficial de 4 fascículos (tibionavicular, tibiocalcáneo y   tibiotalares anterior y posterior) y uno profundo (tibiotalar profundo), mucho más fuerte.

Es un ligamento que pocas veces se lesiona de forma aislada sino que suele estar en el contexto de luxaciones o fracturas-luxaciones de tobillo, asociando fracturas maleolares o rotura de la sindesmosis.

Clasificación de los Esguinces de tobillo. Casi todos grado II!

En función de la gravedad se van a clasificar en leves (grado I), moderados (grado II) o graves (grado III). Vamos a centrarnos en el esguince del ligamento lateral externo que es el más frecuente. 

  • Esguince grado I: es una distensión sin rotura, habitualmente en el fascículo PAA del ligamento lateral externo. Cursa con dolor discreto y leve tumefacción, sin limitación para la actividad deportiva. La vuelta a la actividad deportiva se produce en 2-3 semanas. 

  • Esguince grado II: es el más frecuente, suele acompañar la rotura del LPAA, cápsula y con frecuencia el LPC. Cursa con equimosis en el borde externo del tobillo y pie, inflamación y limitación funcional para las actividades. Presenta leve inestabilidad en varo. La vuelta a la actividad deportiva se produce en 3-6 semanas. 
  • Esguince grado III: es el más grave de todos pero muy infrecuente, se verán afectados todos los fascículos del LLE y suele asociar lesiones osteocondrales o de los tendones peroneos. Cursa con hematoma e impotencia funcional importante. El dolor inicialmente es intenso y se va reduciendo al estar rotos todos los fascículos. Presenta una inestabilidad importante en las maniobras de estrés en varo y cajón anterior. La vuelta a la actividad deportiva se produce en 8-12 semanas.  

  • Esguince de la sindesmosis: cuando se le imprime rotación externa puede asociar un esguince o rotura del ligamento tibioperoneo anterior, que cursa con dolor en la zona anteroexterna del tobillo que se incrementa con la rotación externa forzada o dorsiflexión del tobillo (típico al ponerse de cuclillas).

Síntomas. Chasquido y dolor!

El paciente refiere un dolor agudo y chasquido tras un giro del tobillo con inversión pie, con impotencia funcional según el grado. Como se ha indicado, en el grado III presenta un intenso dolor inicial pero breve, ya que al romperse todos los fascículos se lesionan los nervios transmisores del dolor.  

El hematoma es frecuente a nivel inframaleolar y en la cara externa del pie, pero puede tardar 24-48h en aparecer. Se asocia tumefacción en maleolo externo del tobillo y puede aparecer también en cara anterior del tobillo si se produce un derrame secundario. 

A la palpación presenta dolor inframaleolar, sobre el LPAA que se incrementa con las maniobras de inversión o al caminar de puntillas.  Es frecuente el dolor asociado en la cúpula interna astragalina por “contragolpe”. Si presenta dolor sobre el maleolo externo debemos sospechar fractura asociada del peroné y si el dolor se localiza superoanterior puede asociar lesión parcial de la sindesmosis. Siempre debemos palpar la cola del quinto metatarsiano para descartar fractura de la base del 5º metatarsiano. 

Las maniobras de estrés en varo-inversión, el cajón anterior y la prueba de la rotación externa forzada nos permiten valorar el grado del esguince y si presenta lesiones asociadas. 

Diagnóstico. EXPLORACIÓN + ECOGRAFÍA y,
a veces, RADIOGRAFÍA.

El diagnóstico de un esguince de tobillo se basa en la clínica y exploración física y, actualmente, la exploración mediante una Ecografía MSK dinámica del alta resolución se antoja necesaria en todos los pacientes si queremos una valoración precisa.  

 

La Ecografía MSK de alta resolución permite un estudio dinámico para valorar la repercusión y funcionalidad en el tobillo, valora los ligamentos afectados, presencia de derrame articular y la evolución clínica.  

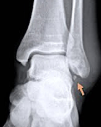
La radiografía simple no se realiza de forma sistemática, sólo en casos de esguinces graves, sospechas de fracturas asociadas o en esguinces de mala evolución. Con frecuencia se aprecia una pequeña avulsión de la inserción del LLE en la punta del peroné, que no debemos considerar como una fractura sino como un arrancamiento del ligamento cuyo tratamiento será casi similar al de cualquier esguince. 

La resonancia magnética nuclear casi nunca es necesaria. Sólo la realizaremos si sospechamos lesiones osteocondrales, del seno del tarso o tendinosas, edema óseo, fracturas ocultas o en esguinces de mala evolución. 

Tratamiento. FISIOTERAPIA Y MUCHA READAPTACIÓN!

El tratamiento fundamental se basará en el reposo deportivo inicial con o sin sistemas de inmovilización en función del grado de lesión, seguido de un programa individualizado de recuperación mediante fisioterapia y readaptación deportiva. Los ligamentos colaterales de tobillo son estructuras extra-articulares que cicatrizan rápidamente después de una rotura y rara vez requieren tratamiento quirúrgico, salvo en caso de lesiones asociadas o lesiones grado III en deportistas de élite. Determinar el grado de la lesión es necesario para establecer el tratamiento adecuado.

TRATAMIENTO CONSERVADOR

  • Inmovilización, descarga y AINES: como en toda lesión ligamentaria se aplicará el protocolo RICE (Reposo, Hielo, Compresión y Elevación) y AINES durante 48h (no más allá de ese tiempo para no alterar el proceso de cicatrización). La inmovilización se llevará a cabo con un vendaje compresivo u ortesis simple con refuerzo lateral (en los grados I y II) o con ortesis rígida tipo Walker o escayola (si la rotura es completa grado III). Se realizará descarga parcial, más o menos tiempo según el grado de lesión, permitiendo carga mayor en los grados I y II pero difiriendo la carga hasta las 3 semanas en el grado III. 
 
  • Terapias Biológicas de Medicina Regenerativa: basadas en el concepto de “autocuración”, la infiltración de plasma rico en plaquetas (PRP) sobre el LLE es una terapia que permite una recuperación más temprana gracias a que acelera la curación de los ligamentos lesionados. También permite la cicatrización de los ligamentos que no estaban curando de forma satisfactoria o cuando presente lesiones osteocondrales asociadas.

 

  • La fisioterapia se utilizará para reducir la fase inflamatoria y dolor mediante técnicas avanzadas de Indiba Activ®, bomba diamagnética, criopresoterapia Game Ready®, ondas de choque extracorpóreas, cinesiterapia… y posteriormente la readaptación deportiva potenciará la musculatura para proteger los ligamentos y estabilizar el tobillo con un programa individualizado y adaptado a las necesidades de cada paciente. Es my útil el sistema de restricción de flujo Mad Up® ya que podemos entrenar con escasa  carga mecánica sobre la articulación pero potenciando al máximo el estrés muscular y, por tanto, la potenciación del mismo. Esto se logra reduciendo el flujo que llega a nuestra musculatura mediante un manguito de isquemia con control en todo momento de la presión arterial. Es el único sistema patentado y seguro para este tipo de terapia. Se estima un tratamiento durante 3-10 semanas para la vuelta a la actividad deportiva según el grado de lesión. 

TRATAMIENTO QUIRÚRGICO

Sólo en escasas ocasiones se precisará una intervención quirúrgica:

  • Lesiones grado III del LLE en deportistas de élite en los que se realizará reanclaje con o sin refuerzo. 
  • Inestabilidad crónica de tobillo secundaria a lesión del LLE. Precisará diversas técnicas de refuerzo y reconstrucción ligamentaria. 
  • Rotura completa de los ligamentos de la sindemosis, donde se afecta la mortaja tibioperonea y precisa fijación con tornillos transindesmales o con sistemas de anclaje tipo endobuton 
  • Algunos casos de lesión del ligamento deltoideo (LLI) en el contexto de una fractura luxación de tobillo. 

Complicaciones. TENGO UN ESGUINCE MAL CURADO!

En general, las complicaciones de un esguince de tobillo que, como hemos dicho, afecta fundamentalmente al fascículo  peroneoastragalino anterior (LPAA), son poco frecuentes. Pero hay veces que un esguince aparentemente banal tarda en curar, persistiendo dolor, lo que popularmente se denomina “esguince mal curado”. Las causas fundamentales de la persistencia de dolor tras un esguince son mecánicas, funcionales o lesiones asociadas. (Ver más en el apartado “Esguice mal curado”)

En Osium Trauma y Synergia hemos desarrollado la Unidad interdisciplinar de Traumatología Deportiva formada por médicos, fisioterapeutas y readaptadores especializados en lesiones de ligamentos de tobillo. Esto nos permite un tratamiento integral en todas las fases de recuperación de un esguince de ligamento de tobillo para una vuelta precoz a la actividad deportiva y sin riesgo de recaída.

¡Que nada te impida moverte!

El ejercicio es la mejor medicina

Noticias relacionadas

Fracturas y luxaciones del tobillo

FRACTURAS Y LUXACIONES DEl TOBILLO ¿Qué son las fracturas y luxaciones? Una fractura de tobillo, acompañado o no de luxación